Orthodontic Laboratory

Go to content

Main menu

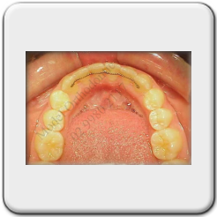
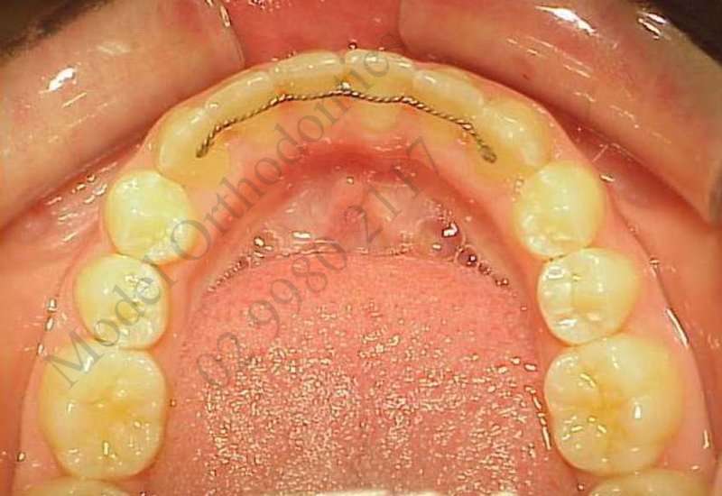
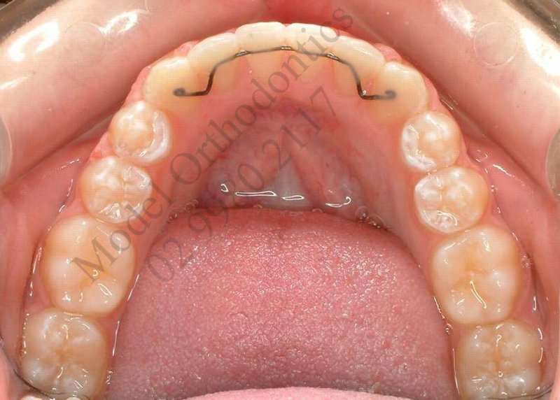
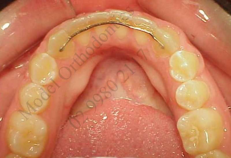
Fixed Linguals

Animated Flag Images
Privacy Policy
Back to content | Back to main menu